10/30(木)午前休診します。
10/30(木)院長が保健センターにて衛生指導で不在の為、 午前の診療(...
2025年のお盆もカレンダー通り診療致します。
2025年のお盆もカレンダー通り診療致します。 8/7(木) 通常通り...
6/5(木)受付時間変更について
6/5(木)院長が保健センターにて衛生指導で不在の為、 診療時間が変更となります。 &...
5/22(木)午前 受付時間変更のお知らせ
5/22(木)午前 院長が保健センターにて衛生指導で不在の為、 12:0...
GWもカレンダー通り診療します。
2025年のGWもカレンダー通り診療いたします。 4/24(木) 通常通...
平均待ち時間8.5分
2024年1月〜3月の待ち時間(受付して呼び出しまでの時間)を 集計しま...
2/6(木)午前 受付時間変更のお知らせ
2/6(木)午前 院長が保健センターにて衛生指導で不在の為、 12:00...
カード、スマホ決済出来るようになりました。
めいよん歯科は より身近に、より便利な歯科医院でありたいと思い、 自動精...
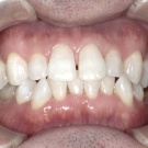
ホームホワイトニングの院長体験談
前回のブログで私のホワイトニングの写真をお見せしました。 今回は院長自ら...
院長もホワイトニングしました。
院長も最近ホームホワイトニングをしています。 術前がこちらです。 磨き残...